Published Online First

Published: 2024-12-21

Original Article

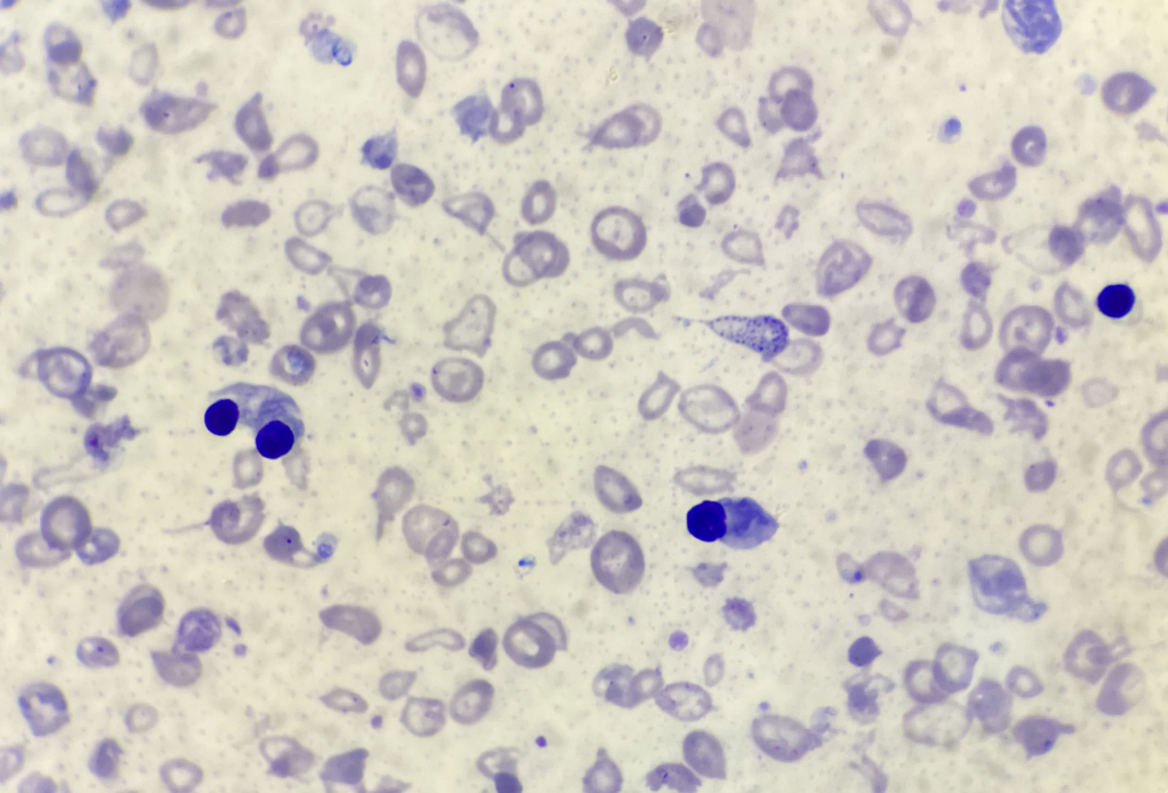
Case Report

  • A Case of Homozygous Beta+-Thalassemia

    Angela Allen, Abdou Gai, Yarreh Suso, Nicholas Parkin, David Rees, Stephen J. Allen
    DOI: https://doi.org/10.14740/ijcp1018